「DIFF+」从体外筛选到体内验证:全链条药效评价为抗流感药物研发护航-自主发布-资讯-生物在线

「DIFF+」从体外筛选到体内验证:全链条药效评价为抗流感药物研发护航

作者:浙江迪福润丝生物科技股份有限公司 暂无发布时间 (访问量:822)

近日,流感进入高发季节,叠加广州气温明显下降,不少学校相继出现学生集中缺课的情况。多位家长反映,新一周返校后,孩子班级里因发热、咳嗽等症状请假的学生数量大幅攀升,部分班级缺课人数接近半数,学校不得不临时停课。

广东最新的流感周报显示,门急诊流感样病例标本流感病毒阳性检出率达到30.91%,为近期新高;一周的流感暴发疫情已达到14起,也为近期新高。

图1.广州妇儿中心儿内科门诊

图片来源:CDC疾控人

周报指出,在检出流感病毒的阳性标本中,A(H3N2)亚型占98.19%,A(H1N1)pdm09亚型占1.20%,B(Victoria)系占0.60%。

 

目前已有一系列用于应对流感的抗病毒药物,但在面对活跃传播和多亚型并存的流行格局时,仍存在靶点有限、耐药风险上升、覆盖范围不足等挑战。因此,加快更高效、更广谱的抗病毒药物研发依然十分迫切。而从早期发现到临床前验证的每一个环节,都离不开专业、高效的技术支持平台,为新一代抗病毒药物的迭代提供关键支撑。

 

DIFF CRO服务:为抗流感药物研发赋能

迪福润丝生物凭借其深厚的病毒学研究积淀,为抗流感药物的研发提供从早期筛选到体内验证的全流程CRO服务。其核心优势体现在以下三个方面:

1、体外药效筛选:快速验证,精准优化

在抗流感新药研发初期,迪福润丝通过先进的体外药效评价体系,帮助客户快速筛选和优化候选化合物,其服务特色包括:

例如,在流感药物筛选中,采用CPE assay精准绘制化合物对多种流行株(如H1N1-PR8、耐药株H1N1-PR8-NA-H274Y等)的剂量抑制曲线,为客户提供直观的EC50数据,助力早期决策。

2体内药效验证:模型可靠,数据过硬

体外实验的成功必须经过体内模型的验证。迪福润丝的体内药效评价服务内容全面,模型成熟可靠:

流感体内攻毒保护实验

 

迪福润丝的研发团队成功建立了流感病毒感染小鼠模型,攻毒后模型组小鼠体重急剧下降并达到人道终点,验证了模型的可靠性。在此模型上,抗流感药物磷酸奥司他韦展现出显著的治疗优势:其能有效缓解感染导致的体重下降并促进恢复,显著提高生存率。

图7.小鼠流感攻毒模型(H1N1/PR8)给药后的体重变化趋势

图8.小鼠流感攻毒模型(H1N1/PR8)给药后的小鼠存活率情况统计

肺脏病毒载量检测证实该流感动物模型建模成功,模型组在第3天即出现极高病毒复制。关键的是至第8天,给药组达菲能极显著地降低肺组织病毒载量,降幅达到数量级

图9.H1N1-PR8攻毒模型肺脏灌洗液病毒滴度

 

流感荧光报告病毒活体成像

利用迪福润丝生物构建的流感荧光报告病毒MA-PR8-NanoLuc,可对流感抗病毒药物进行评估。迪福润丝生物构建的流感荧光报告病毒具有很强的荧光信号,可在细胞内复制和表达GFP荧光蛋白,可查看病毒在感染模型体内的动态分布情况。

图10.H1N1-PR8在感染模型体内的动态分布情况

 

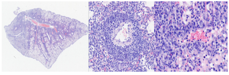
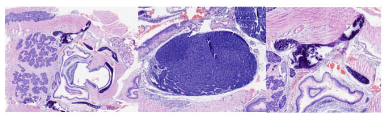
HE染色及病理检测:

肺部:HE染色清晰揭示了肺组织的中低度弥漫性病变。其优势在于能精准定位炎性浸润主要集中于血管及气管周,并可鉴别浸润细胞类型,如发现嗜酸性粒细胞比例轻度上升。同时,该方法直观显示了肺泡积液、出血、淤血及结构塌陷等关键病理改变的严重程度(如塌陷区域达2/5)和空间分布,为评估组织损伤提供了全面的形态学依据。

 

气管:通过HE病理检测,可精确认定气管上皮损伤轻微,其优势体现在能清晰区分气管周中低度炎性浸润与管腔内血性淤积、脱落上皮细胞等混合性病变。此外,该方法还能有效观察周边结构,如发现区域淋巴结中度活化这一系统性炎症证据,从而从局部到整体全面评估感染与免疫应答状态,凸显了其宏观与微观相结合的独特价值。

细胞因子检测:

图11.qRT-PCR相对定量方法检测了肺组织中IL-6关键细胞因子的mRNA相对表达量

 

本研究采用qRT-PCR法定量检测肺组织关键炎症因子mRNA表达。该方法的优势在于其高灵敏度与特异性,能精准捕获感染早期(3dpi)炎症应答的瞬时上调,并动态监测到后期(8dpi)给药组的调控趋势。这有力地揭示了药物在抑制病毒复制之外,可能通过调节免疫反应路径减轻病理损伤的潜在机制。

 

3、 资源完备:覆盖广泛的病毒资源库与耐药株平台​

迪福润丝生物不仅建立了完善的流感病毒毒株资源库,还持续构建包括高致病性病毒假病毒及特定药物耐药株在内的多种资源。基于此平台,公司可进行系统的机制验证:通过将野生型病毒与耐药株进行平行对比,可快速甄别并验证药物是否具备克服原有耐药性的潜力。同时,依托资源库中的不同病毒亚型,还可开展广谱效价评估,为药物适应症的拓展提供关键的数据支持。

 

表1.迪福润丝生物流感毒株资源库

表2.迪福润丝生物的流感耐药株毒库

迪福润丝抗病毒新药药效评价服务严格遵循国家及行业标准,已建立覆盖项目全流程的标准化质量控制体系。所有实验数据均确保真实、可溯源、可重复,能够直接用于支持新药的IND申报、注册备案及技术合作,为您的创新成果提供从实验室到临床的坚实桥梁。

流感新药的研发成功,离不开可靠、高效的药效学证据支持。迪福润丝生物“DIFF+”一站式药效评价方案,依托完备的资源库与前沿的技术平台,为客户提供从抗病毒药物筛选体内药效验证的全链条数据支撑,助力改良型抗病毒药物降本增效,加速上市进程。

 

 

浙江迪福润丝生物科技股份有限公司 商家主页

地 址: 浙江省杭州市滨江区长河街道滨安路688号2幢C楼6层601室

联系人: 石经理

电 话: 0571-86071385

传 真:

Email:op@diff-biotech.com

相关咨询
ADVERTISEMENT